俗话说“人老先老脸,脸老先老眼”
“老不老,看眼角”
那眼睛老化还有哪些征兆?
1.三角眼
三角眼,一种常见的生理现象,随着年龄增长皮肤松弛等原因,多出现在中老年人中。

三角眼
三角眼一般眦角多正常,主要由于上睑皮肤中外侧松弛下垂,外眦角被遮盖显小,使眼裂变成近似三角形。
2.水泡眼
水泡眼,也叫肿泡眼、肉泡眼,多见于中老年妇女,是由于眼皮上脂肪组织增多,或老年人眼眶隔膜松弛,使眶膈内脂肪球脱出于眼皮部位,导致眼睑臃肿而形成。
眼睑的形态存在种族差异,据统计东方人单睑者占50%之多。东方人的眼睑解剖特点是眼皮较厚、筋膜组织松、眶隔筋膜反褶于睑板前,眶隔内脂肪较多,上睑提肌腱膜较薄。

肿眼泡
3.眼袋
眼袋是指下眼睑皮肤下垂、臃肿,呈袋状。眼袋根据病因可分为原发性和继发性两大类。原发性眼袋往往有家族遗传史,多见于年轻人。继发性眼袋多见于中、老年人。
眼袋
继发性眼袋,是眶内脂肪堆积过多和睑支持结构变薄弱共同作用的结果。不恰当的按摩、熬夜、年龄增长等因素,与继发性眼袋的发生密切相关。
4.鱼尾纹
鱼尾纹是在人眼角和鬓角之间出现的皱纹,其纹路与鱼尾巴上的纹路很相似,故被形象地称为鱼尾纹。鱼尾纹是氧化纹的一种表现形式,通常发生在25岁以上的人群中,中老年女性更为明显。
鱼尾纹
组织学表现为因弹性纤维退行性变而导致的结构变化,主要是眼轮匝肌运动促其产生,另外嘴角提肌、笑肌、颧肌也参与了其产生的过程。皮肤会显得得暗淡、松弛、干燥,一道一道的皱纹呈放射状排列,长短、深浅、数量、形态因人而异。
5.老年环
角膜老年环是角周边部基质内的类脂质沉着。见于老年人,双眼发病。起初浑浊在角膜上下方,逐渐发展为环形。该环呈白色,通常约1mm宽,外侧边界清楚,内侧边界稍模糊,与角膜缘之间有透明角膜带相隔。

老年环
老年环通常是一种有遗传倾向的退行性改变,但有时也可能是高脂蛋白血症(尤其是低密度脂蛋白)或血清胆固醇增高的眼部表现。
老年人出现“角膜老年环”,一般不痛不痒,视力也无下降,往往容易被忽视。因此,提醒中老年朋友,平时不妨用镜子照照,检查一下自己的眼睛,若发现在黑眼球边缘出现“角膜老年环”,请尽早到正规医院检查。
6.睑裂斑
眼睑裂斑为睑裂部球结膜长期暴露受外界刺激或老年变性所致。睑裂部接近角膜缘处的球结膜出现三角形隆起的斑块,三角形基地底朝向角膜.偶尔伴有局部炎症。

睑裂斑
本疾病多见于中老年人。因睑裂斑内无血管,故更明显。其病理改变为结膜实质的玻璃样变性和弹力纤维增生,病变为静止性,不影响视力,无须治疗。
7.老花眼
老花眼即老视是一种生理现象,不是病理状态也不属于屈光不正,是人们步入中老年后必然出现的视觉问题,也是身体开始衰老的信号之一。

戴老花镜的老人
随着年龄增长,眼球晶状体逐渐硬化、增厚,而且眼部肌肉的调节能力也随之减退,导致变焦能力降低。因此,当看近物时,由于影像投射在视网膜时无法完全聚焦,看近距离的物件就会变得模糊不清。
8.黄斑变性
黄斑变性的病理机制主要为黄斑区结构的衰老性改变,是高龄退化的自然结果。老年性黄斑变性大多发生于45岁以上,其患病率随年龄增长而增高,是当前老年人致盲的重要疾病之一。

正常眼底(左)与黄斑变性(右)
该病表现为视网膜色素上皮细胞对视细胞外界盘膜吞噬消化功能下降,使未被消化的盘膜残余小体潴留于基底部细胞原桨中,并向细胞外排出,形成玻璃膜疣,因此继发病理改变后,导致黄斑变性发生,总之主要与黄斑区长期慢性光损伤,脉络膜血管硬化,视网膜色素上皮细胞老化有关。
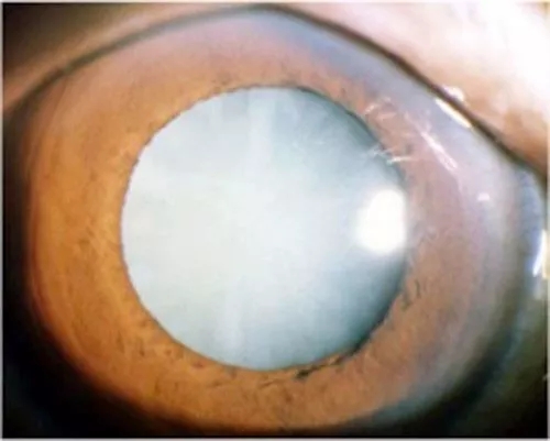
老年性白内障(特别提醒)
老年性白内障即年龄相关性白内障,是指中老年开始发生的晶状体混浊,随着年龄增加,患病率明显增高。

老年性白内障
由于其主要发生于老年人,以往习惯称之为老年性白内障。本病是老年健康一大杀手,其发生与环境、营养、代谢和遗传等多种因素有关。
人老脸先衰,脸老眼先衰
随着人们的年龄增长
眼睛自然会出现老化现象
但也要多加注意保养眼睛啊